欢迎访问华康医院官方网站
新闻中心INFORMATION CENTER

空调一开,鼻炎就来?医生揭秘背后真相!

鼻子痒、打喷嚏、流鼻涕严重时会连续打几十个喷嚏晚上躺着睡觉经常会被憋醒一吹空调鼻子就不舒服简直苦不堪言为什么一吹空调就犯鼻炎我院医生表示,夏季常见的鼻炎类型为急慢性鼻炎和过敏性鼻炎,通常与这两方面有关:空调附着尘端、霉菌等过敏原。空调长时间未清洗,过滤网上会附着大量的微小颗粒粉尘、霉菌。开启空调时,···

专家团队 EXPERT TEAM
信息资讯INFORMATION ARTICLE
专题专栏
Copyright © 2024 华康医院 All Rights Reserved. 禁止通过本系统发送任何涉密和敏感文件
地址:惠州市惠城区演达大道55号,服务热线:(0752)2360333,
ICP备:粤ICP备2024222373号-5
医院热线
体检热线
扫一扫

扫一扫
关注动态

返回顶部
不要让关节彻底“报废”,晚年还要游山玩水-临床动态-惠州华康医院 - 惠州专业骨科医院_官网-打造惠州百姓信赖的现代化医院
欢迎访问华康医院官方网站
当前位置:首页>>新闻中心>>临床动态临床动态

不要让关节彻底“报废”,晚年还要游山玩水

常言道:人老骨先老,随着年龄增长,人体生理功能逐渐衰退,各种疾病可能会接踵而至,但人到老年并不意味着“只能低质量地生活”。膝关节是人体最大的负重关节,它的健康状况直接影响着人的行走能力,也即决定着人能走多远。


图片

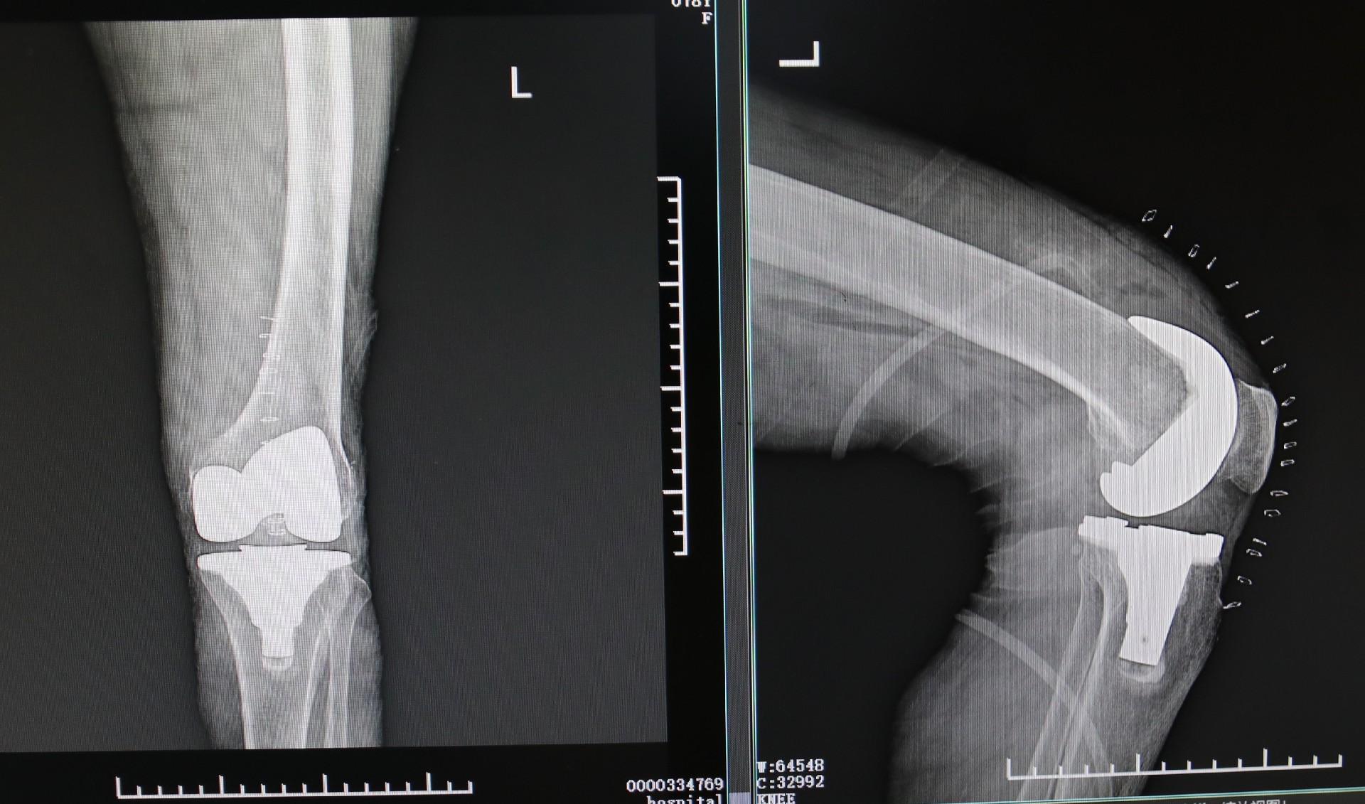
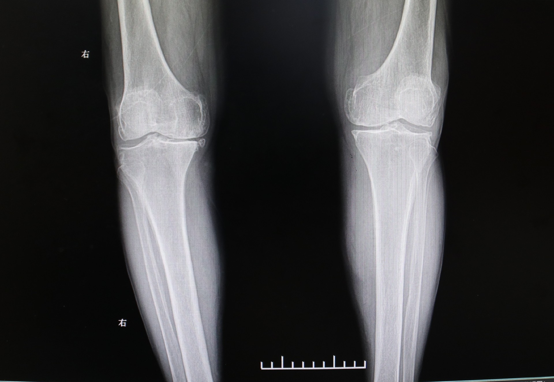
10多年反复疼痛,病情加重

膝盖是人体负重的 “主力军”,每一次疼痛都是它发出的 “求救信号”。这位85岁的老人,被膝盖的疼痛折磨了小10年,最近的一两年,他走路时总是步履蹒跚,膝盖的疼痛让他每走一步都充满了艰难。老人是一位热爱生活的人,每天走在街头、与朋友闲聊,都是他乐此不疲的事。然而,随着年纪的增长,膝关节的疼痛开始悄然袭来,渐渐影响了他活跃的生活。

据他讲,近10年来,他几乎每天都在跟膝关节疼痛作斗争,刚开始就是保健按摩,针灸,药酒,时好时坏,一会有希望一会又失望。

微信图片_20250814110911.jpg


图片

精准手术,重新站立

膝关节表面覆盖着软骨,随着年龄的增加,软骨会逐渐磨损,膝关节周围的骨骼、韧带也会发生退变。这使得老人膝盖处骨头间的摩擦加剧,痛苦万分,出现了膝关节疼痛、畸形以及活动障碍等情况。刘海亮主任仔细为老人检查,发现他已是终末期骨性关节炎,保守治疗已经起不到任何效果,针对这类情况,通常考虑进行膝关节置换手术,可有效解决膝关节磨损、矫正变形,并消除患者的疼痛。

微信图片_20250814110918.jpg

很多患者担心,膝关节置换是不是把整个膝盖都换掉?其实不然,膝关节置换手术是将不光滑的地方“修平”,然后加上一个“托”,中间再加一个高分子材料制成的垫让变得狭窄的关节间隙重新获得“空间”,形成没有摩擦或摩擦力很小的膝关节屈曲伸直装置。完善术前准备,老人的膝关节置换手术成功完成,老人的新生活也即将开始。

术后第二天老人即可下地,及时有效的康复锻炼可以达到快速康复的效果。

图片

接受手术治疗的必要性


膝关节骨性关节炎是导致老年人群病理性致残及慢性疼痛的主要病因之一。刘海亮主任讲到,该疾病不仅导致患者生理功能受限、生活质量下降,还会引发社会角色弱化等连锁反应。这位85岁老人成功手术,也证明高龄并非手术绝对禁忌症,在鼓励患者通过规范治疗改善健康状态的同时,也应综合评估手术风险与获益,以现代医学技术突破传统治疗瓶颈

图片

以下因素提示需手术治疗


◎ 关节疼痛:休息+药物等保守治疗已经没效果了,日常生活疼痛严重,行走困难,已经严重影响到生活质量;

◎ 活动障碍:膝关节不仅是人体的负重关节,也必须具有良好的关节活动度,才能满足人类正常的行走、爬楼、上厕所、坐下等基本生活需求,关节炎晚期常常因为骨质增生、关节间隙狭窄及关节囊挛缩等导致膝关节活动度明显减少,无法满足基本的生活需求。


每一次成功的手术背后,都离不开一支经验丰富、技术精湛的医疗团队。我院骨科团队已开展该类手术20余年,并有千余例的手术经验,尤其现在采用快速康复理念,让患者手术更加舒适,大大加快了康复速度,术后都获得了显著的疗效,极大的提高了生活质量。





刘海亮 主任医师

中国研究型医院学会骨与软骨再生修复专业委员会委员

广东省中医药学会运动医学委员会委员

广东省基层医药学会中西医结合正骨分会委员

广东省生物医学工程学会骨伤专业委员会委员

毕业于湖南中医药大学骨伤专业,从事骨伤科临床工作二十年余,师从惠州华康骨伤医院创始人叶颂霖院长,系统学习了骨伤治疗的中西医结合疗法。在骨伤科常见病、多发病及复杂骨伤方面积累了丰富的临床经验,擅长运用中西医诊治各种骨伤、软组织损伤等疾病,擅长四肢骨折的正骨手法复位、小夹板固定等中医骨伤治疗,擅长运用中医闭合手法复位结合现代微创技术对四肢骨折进行经皮内固定治疗,擅长四肢骨折切开复位内固定术,擅长髋、膝关节置换及翻修手术,擅长运用射频、臭氧治疗腰椎间盘突出及各种慢性疼痛等疾病,尤其擅长用等离子射频髓核消融术治疗颈椎间盘突出。先后在湖南、上海、广州、佛山、浙江多家三甲医院进修学习,主持惠州市科技局课题三项,获实用新型专利一项,在国家级学术期刊发表论文三十余篇。



周武忠  副主任医师

     

毕业于福建中医药大学,硕士研究生,从事骨科临床工作16年,师从惠州华康骨伤医院创始人叶颂霖院长,先后在江西省中医院、解放军175医院、漳州市中医院从事骨科工作学习,在天津医科大学附属天津总医院、深圳市第二人民医院、北京301医院进修关节外科及关节镜技术,具有丰富的关节、创伤、脊柱骨科等临床经验。擅长肩、膝、肘、踝等全身关节损伤的关节镜微创治疗,已开展膝关节半月板损伤、交叉韧带损伤、退行性骨性关节炎,肩袖损伤,肩关节习惯性脱位,踝关节松弛等各种关节运动损伤的关节镜微创手术治疗超过上干例,特点:疗效确切、创伤小、治愈率优良。2017年在叶颂霖院长带领下同301医院合作率先在惠州开展股骨头坏死保髋微创治疗并起得良好疗效,同时每年都行大量全髋关节置换术、全膝关节置换术,腰椎骨折,骨盆骨折,关节部位粉碎性骨折等骨科高难度手术。在国家级、省市级临床期刊发布学术论文20余篇。



Copyright © 2024 华康医院 All Rights Reserved. 禁止通过本系统发送任何涉密和敏感文件
地址:惠州市惠城区演达大道55号,服务热线:(0752)2360333,
ICP备:粤ICP备2024222373号-5
医院热线
体检热线
扫一扫

扫一扫
关注动态

返回顶部