欢迎访问华康医院官方网站
新闻中心INFORMATION CENTER

空调一开,鼻炎就来?医生揭秘背后真相!

鼻子痒、打喷嚏、流鼻涕严重时会连续打几十个喷嚏晚上躺着睡觉经常会被憋醒一吹空调鼻子就不舒服简直苦不堪言为什么一吹空调就犯鼻炎我院医生表示,夏季常见的鼻炎类型为急慢性鼻炎和过敏性鼻炎,通常与这两方面有关:空调附着尘端、霉菌等过敏原。空调长时间未清洗,过滤网上会附着大量的微小颗粒粉尘、霉菌。开启空调时,···

专家团队 EXPERT TEAM
信息资讯INFORMATION ARTICLE
专题专栏
Copyright © 2024 华康医院 All Rights Reserved. 禁止通过本系统发送任何涉密和敏感文件
地址:惠州市惠城区演达大道55号,服务热线:(0752)2360333,
ICP备:粤ICP备2024222373号-5
医院热线
体检热线
扫一扫

扫一扫
关注动态

返回顶部
又严重又罕见,韧带全断裂了...-临床动态-惠州华康医院 - 惠州专业骨科医院_官网-打造惠州百姓信赖的现代化医院
欢迎访问华康医院官方网站
当前位置:首页>>新闻中心>>临床动态临床动态

又严重又罕见,韧带全断裂了...

膝关节,堪称人体最复杂且最重要的关节之一,就像精密的机械部件,而韧带就像是维持这个部件稳定的关键“绳索”。在膝关节这个“大家庭”中,注药有前交叉韧带、后交叉韧带、内侧副韧带、外侧副韧带,它们分工明确、各司其职,保障人体正常运动





韧带严重撕裂,他痛苦不堪


在追求健康运动的大环境下,很多人都热衷于户外运动,爬山、打球、慢跑…不仅能强壮身体,还能放松工作带来的压力不过,但是,也有出现意外,导致在运动中损伤。而“韧带撕裂”是一个出现频率非常高的词。无论是运动员或者是普通人,在生活和运动中都可能遭遇韧带撕裂,而在韧带撕裂中,前交叉韧带断裂或者后交叉韧带断裂较为常见,但前、后交叉韧带同时出现断裂却很罕见...

微信图片_20250802090646.jpg

事情就发生在月初,王先生(化名)跑步时不慎发生高处坠落,导致右膝关节受伤。瞬时就感到剧烈的疼痛和肿胀,即便休息后症状未见好转,经急诊被收治我院。

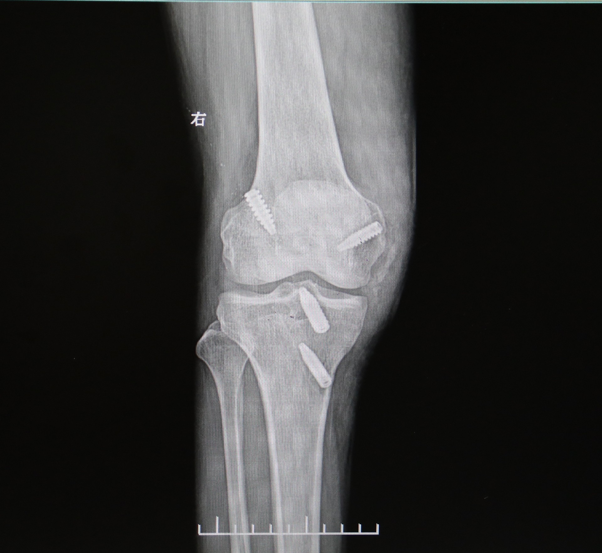
周武忠主任检查发现患者压痛明显,关节活动受限,行走困难。经影像检查诊断王先生右侧膝关节前交叉韧带撕裂内侧副韧带撕裂后交叉韧带撕裂外侧半月板撕裂,伤情比较严重,保守治疗对预后效果不佳。

微信图片_20250731151408.jpg

面对复杂的伤情,周武忠主任团队为他在麻醉下实施“关节镜下右膝关节交叉韧带重建+半月板成形术”。手术顺利完成。





术后早期康复极其重要


注意这里是重点!!!

手术之后没有专业康复指导就可能会有关节挛缩、肌肉萎缩、活动受限等常见但很麻烦的问题。摒弃术后静养的守旧观念,术后早期康复才是正确的选择。王先生在专业的诊疗和护理下,右膝盖肿胀和疼痛逐渐减轻,活动能力也得到了显著改善。

微信图片_20250731154528.jpg

微信图片_20250731154535.jpg

关节镜下交叉韧带重建术是一种微创的手术方式。它在手术创伤、固定与愈合以及术后膝关节功能恢复等多方面优势。目前该技术已经非常成熟,我院开展的这项微创手术为交叉韧带损伤患者带来了方便和满意的治疗康复效果。





警惕!韧带损伤的严重性


叉韧带断裂的常见原因:1、高能量损伤:车祸外伤,高处坠落伤、重物砸伤等。2、运动损伤:运动过程中跪地伤等。

周武忠主任讲到,膝关节交叉韧带损伤是关节损伤疾病中常见的一种下肢疾病,该病也叫做前十字韧带损伤,严重影响患者膝关节功能,损伤其运动系统,若得不到及时治疗,还会导致关节不稳定,使患者反复扭伤,甚至引起关节软骨损害、关节过早老化和关节炎等,建议及早到专科进行诊治,以免影响患者的日常生活、工作及身心健康。



图片

周武忠主任提醒:


韧带断裂若治疗不规范,5年内患骨关节炎风险增加50%。膝关节受伤肿胀超24小时不缓解,或反复“关节卡住”“突然脱力”,应立即就医。而且,预防远比治疗重要。运动前通过高抬腿等动态热身,激活神经肌肉;每周2次单腿硬拉等训练,强化“护膝肌群”;跳跃落地保持双膝微屈;高风险运动佩戴护膝等。科学运动不是“硬扛”,做好防护,才能让运动为健康加分


Copyright © 2024 华康医院 All Rights Reserved. 禁止通过本系统发送任何涉密和敏感文件
地址:惠州市惠城区演达大道55号,服务热线:(0752)2360333,
ICP备:粤ICP备2024222373号-5
医院热线
体检热线
扫一扫

扫一扫
关注动态

返回顶部