欢迎访问华康医院官方网站
新闻中心INFORMATION CENTER

空调一开,鼻炎就来?医生揭秘背后真相!

鼻子痒、打喷嚏、流鼻涕严重时会连续打几十个喷嚏晚上躺着睡觉经常会被憋醒一吹空调鼻子就不舒服简直苦不堪言为什么一吹空调就犯鼻炎我院医生表示,夏季常见的鼻炎类型为急慢性鼻炎和过敏性鼻炎,通常与这两方面有关:空调附着尘端、霉菌等过敏原。空调长时间未清洗,过滤网上会附着大量的微小颗粒粉尘、霉菌。开启空调时,···

专家团队 EXPERT TEAM
信息资讯INFORMATION ARTICLE
专题专栏
Copyright © 2024 华康医院 All Rights Reserved. 禁止通过本系统发送任何涉密和敏感文件
地址:惠州市惠城区演达大道55号,服务热线:(0752)2360333,
ICP备:粤ICP备2024222373号-5
医院热线
体检热线
扫一扫

扫一扫
关注动态

返回顶部
从“不能走”到“放心走”,这类手术,我院已成功完成千余例-临床动态-惠州华康医院 - 惠州专业骨科医院_官网-打造惠州百姓信赖的现代化医院
欢迎访问华康医院官方网站
当前位置:首页>>新闻中心>>临床动态临床动态

从“不能走”到“放心走”,这类手术,我院已成功完成千余例

很多疾病到后期,不得不依靠手术来改善病情或者提高患者的生活质量,同理,关节疾病终末期,一般都需要进行人工膝关节置换,对于置换手术,老百姓会有很多疑问…



1

装了假关节就会残废吗?不会!

骨伤关节创伤科刘海亮主任讲到,我们先来简单地讲一下,什么是膝关节置换,膝关节置换全称膝关节表面置换。很多患者一听到关节置换这个名字就会比较害怕,以为是把整个膝关节换掉,实际上不是这样的,我们经常提到的膝关节置换,只是把膝关节中的软骨、滑膜这些已经失去正常生理功能的部分去掉,换成人工的替代品放进去。膝关节置换是大多数的关节疾病终末期的唯一的治疗手段,也是治疗的一个金标准


图片

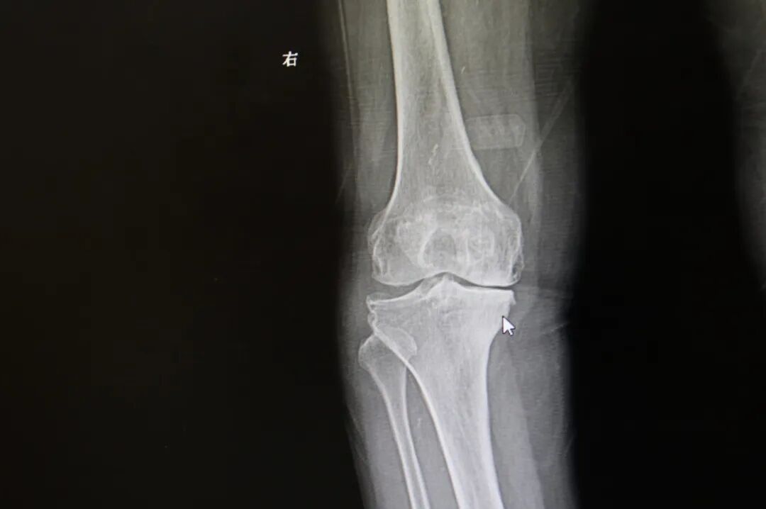
膝关节受损后的影响


俗话说,人老腿先老。75岁黄女士(化名)右膝关节反复疼痛,多年来,她深受疾患的困扰,近期症状的急剧恶化,甚至让日常行走都成为奢望。尽管尝试过中医康复理疗、口服药物等多种治疗方式,可疼痛依旧如影随形,且病情日益加重,行走愈发艰难。多次在外院寻求治疗,效果皆不尽人意。当医生告诉她“需要换个人工关节”时,她就顾虑重重,担心“假关节肯定不如原装的好,装了后我就成残废了”,便一拖再拖,而右膝的情况也越来越不乐观。



2

放下心理包袱,手术成功。

在他人介绍下,饱受疼痛折磨的她来到我院,找到了刘海亮主任。经过详细了解病情并进行体检后,医生们一致认为:膝关节退行性病变程度严重,保守治疗难以奏效。


微信图片_20250521154047.jpg

微信图片_20250521154052.jpg


在此情形下,膝关节置换术治疗技术无疑是该患者的最优治疗方案。刘主任耐心解释,并把相关病例的情况介绍给她听。经过与患者及家属积极且充分的沟通,老人终于放下思想包袱,最终同意接受右侧人工全膝关节置换术。


微信图片_20250521154042.jpg


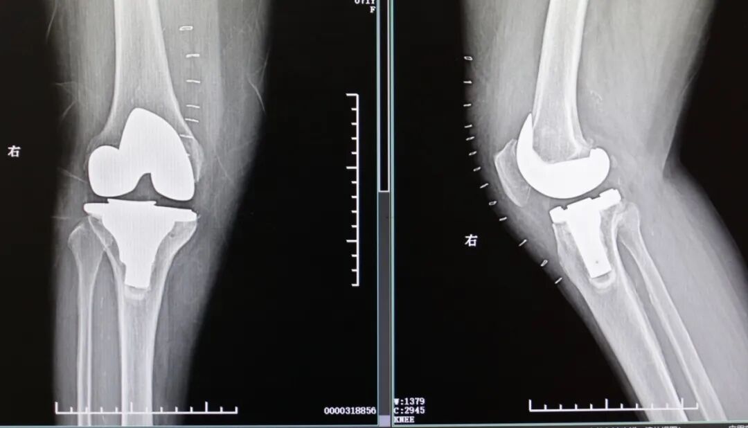
刘海亮主任团队精心设计手术方案,进行了详细的术前检查,并成功为老人实施了右膝人工膝关节置换术。术后第二天,老人就可以扶着助行器下地行走了,而且外翻畸形多年的膝关节也恢复了正常膝关节的外观和力线。


微信图片_20250522082022.jpg


在医生的指导下,老人也积极进行术后康复锻炼,人工膝关节已完全成为她身体的一部分,黄女士发自内心的喜悦,“要是早点来装人工膝关节,现在生活质量明显提高了很多啊!”



3

哪些患者需要关节置换?

严重骨关节炎患者:这是膝关节置换最常见原因。当关节软骨严重磨损,引发疼痛、肿胀、活动受限时,手术或许是解决办法。


微信图片_20250521144846.jpg


关节损伤:因意外或运动造成的严重关节损伤,若保守治疗无效,可能就得手术。

其他疾病:像风湿性关节炎、骨肿瘤等,若严重损害关节功能,也可能需要膝关节置换。

长期疼痛和功能障碍:长期受膝关节疼痛折磨,日常活动大受影响的患者,膝关节置换术或许能带来转机。



如今,随着手术技术的日益精湛以及术后康复技术的不断提升,膝关节置换术已从过去令人望而生畏的“大手术”,转变为出血少、疼痛轻、恢复快的理想选择。它能够迅速为患者缓解疼痛,恢复关节功能,大幅提高生活质量,让患者得以迅速回归生活与劳动,无疑是骨关节疾病患者的福音!我院已成功完成千余例人工膝关节置换手术,在追求卓越医疗的道路上,我院将不断勇攀高峰,为更多患者带来健康与希望!








IMG_1373.jpg
刘海亮

骨伤关节创伤科

主任


主任医师


中国研究型医院学会骨与软骨再生修复专业委员会委员

广东省中医药学会运动医学委员会委员

广东省基层医药学会中西医结合正骨分会委员

广东省生物医学工程学会骨伤专业委员会委员


毕业于湖南中医药大学骨伤专业,从事骨伤科临床工作二十年余,师从惠州华康骨伤医院创始人叶颂霖院长,系统学习了骨伤治疗的中西医结合疗法。在骨伤科常见病、多发病及复杂骨伤方面积累了丰富的临床经验,擅长运用中西医诊治各种骨伤、软组织损伤等疾病,擅长四肢骨折的正骨手法复位、小夹板固定等中医骨伤治疗,擅长运用中医闭合手法复位结合现代微创技术对四肢骨折进行经皮内固定治疗,擅长四肢骨折切开复位内固定术,擅长髋、膝关节置换及翻修手术,擅长运用射频、臭氧治疗腰椎间盘突出及各种慢性疼痛等疾病,尤其擅长用等离子射频髓核消融术治疗颈椎间盘突出。先后在湖南、上海、广州、佛山、浙江多家三甲医院进修学习,主持惠州市科技局课题三项,获实用新型专利一项,在国家级学术期刊发表论文三十余篇。



IMG_1172.jpg--.jpg
周武忠

骨伤关节创伤科

主任


主任医师

     

毕业于福建中医药大学,硕士研究生,从事骨科临床工作16年,师从惠州华康骨伤医院创始人叶颂霖院长,先后在江西省中医院、解放军175医院、漳州市中医院从事骨科工作学习,在天津医科大学附属天津总医院、深圳市第二人民医院、北京301医院进修关节外科及关节镜技术,具有丰富的关节、创伤、脊柱骨科等临床经验。擅长肩、膝、肘、踝等全身关节损伤的关节镜微创治疗,已开展膝关节半月板损伤、交叉韧带损伤、退行性骨性关节炎,肩袖损伤,肩关节习惯性脱位,踝关节松弛等各种关节运动损伤的关节镜微创手术治疗超过上干例,特点:疗效确切、创伤小、治愈率优良。2017年在叶颂霖院长带领下同301医院合作率先在惠州开展股骨头坏死保髋微创治疗并起得良好疗效,同时每年都行大量全髋关节置换术、全膝关节置换术,腰椎骨折,骨盆骨折,关节部位粉碎性骨折等骨科高难度手术。在国家级、省市级临床期刊发布学术论文20余篇。



Copyright © 2024 华康医院 All Rights Reserved. 禁止通过本系统发送任何涉密和敏感文件
地址:惠州市惠城区演达大道55号,服务热线:(0752)2360333,
ICP备:粤ICP备2024222373号-5
医院热线
体检热线
扫一扫

扫一扫
关注动态

返回顶部