“人生得意须尽欢,莫使金樽空对月。”诗仙李白的豪情,让酒成了无数人抒发心绪的载体。但您可曾想过,在一次次觥筹交错间,身体里一个名为“股骨头”的精密结构,可能正在默默承受着“酒精”的侵蚀,甚至一步步走向“坏死”的境地。
骨科伍见锋主任强调:长期饮酒可能会引起股骨头血供受损,引发塌陷、疼痛和功能障碍,导致步履维艰。
01股骨头被酒精“啃伤”
最近,骨科接诊了一位资深“酒友”,患者今年45岁,右侧髋关节已经疼痛5年多,严重影响他的日常生活和工作。他曾尝试过多种保守治疗方案,效果却不是很理想。为了彻底解决髋关节疼痛问题,来到了我院骨科伍见锋主任的门诊。

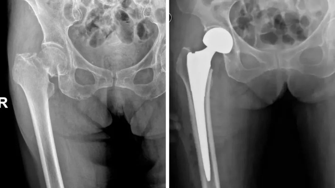
术前与术后影像资料
伍主任详细询问病史并结合影像学检查,股骨头已经明显的变形,呈现出塌陷变扁的状态,髋臼边缘的骨质也出现了硬化现象,明确诊断为“右侧酒精性股骨头坏死”,股骨头坏死塌陷,需要施行人工髋关节置换术。早治疗早恢复,患者入院后,完善术前相关检查,排除了手术禁忌。

伍见锋主任团队为患者制定了详尽的手术规划,手术顺利进行。术后患者在医护指导下开展早期康复锻炼,减少住院时间。
02股骨头是如何被一步步“侵蚀”的
或许有人会问:喝进肚子的酒,怎么会和股骨头扯上关系。这并非危言耸听,而是一场有明确科学路径的“内部破坏”。可以用三个比喻来理解:
“油污堵了水管”——脂肪代谢紊乱。酒精在肝脏代谢时,会“逼迫”肝脏合成大量脂肪颗粒,导致血液变得“油腻”。这些微小的脂肪滴随血液流动,很容易堵塞股骨头里那些比头发丝还细的滋养血管。血管一堵,骨细胞们就要“断粮断氧”,最终活活“饿死”“憋死”。
“破坏供水系统”——微血管内皮损伤酒精和它的代谢产物就像是“腐蚀性液体”,会直接损伤血管内皮细胞,从而引发局部凝血异常。这等于在本就狭窄的血管里又设了路障,彻底切断了骨组织的生命线。
“腐蚀建筑材料”——抑制成骨细胞。成骨细胞是身体的“建筑工人”,负责骨骼的修复和加固。酒精及其代谢产物会抑制这些“工人”的干劲,同时加速骨质流失。结果就是,股骨头这座“承重墙”被掏空,机械强度大大下降,最终不堪身体重负,发生结构性塌陷。
03不得不防的隐形威胁
值得注意的是,股骨头坏死是一个缓慢、渐进的过程。早期可能没有任何症状,或者仅有轻微的髋部、大腿或膝盖酸胀痛,很容易被误认为是劳累或关节炎。等到出现持续疼痛、关节活动受限时,往往已经进入了中晚期,股骨头可能已经发生了塌陷,错过了保住自身关节的最佳治疗时机。
惠州华康医院官方网站发布
扫一扫
关注动态